突破!这种省级大医院才能见到的高难度手术,我院心血管内科团队圆满完成
近日,我院心血管团队成功为一名患有复杂冠状动脉病变的患者实施了一项高难度介入手术。不仅展示了我院在心血管疾病治疗领域卓越的技术水平,也体现了团队之间高效协作的能力。
案例介绍
患者赵某某(男,73岁)因“反复晕厥”症状辗转多家医院就诊。外院检查发现,其冠状动脉存在多处严重病变:左主干及前降支、回旋支、右冠等均有多处狭窄,尤其回旋支中段完全闭塞。尽管外院曾尝试开通血管,但未能成功,患者遂转至我院寻求进一步治疗。
面对如此复杂的病情,我院心血管内科团队进行了精细化评估,并制定出周密的手术方案。4月1日,心血管内科介入手术团队凭借丰富的经验和精湛的技术,历经8小时的精细操作,成功开通了患者闭塞的回旋支血管,恢复了心脏血流供应。术后,患者生命体征平稳,症状得到显著改善,这一复杂病例的圆满解决,标志着我院在治疗冠状动脉严重病变方面取得了重要突破。目前,患者已康复出院,并送来锦旗以表达感激之情。此次手术的成功,不仅缓解了患者的病痛,更使其重拾生活的信心,重获健康的生活。
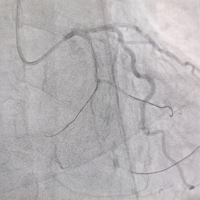
术前

术中

术后

技术亮点
复杂病例处理能力:突破外院未能解决的回旋支闭塞难题,彰显我院在复杂冠脉病变领域的优秀水平。
精准评估与协作:依托先进影像技术,为手术成功提供坚实保障。
以患者为中心的理念:以个体化治疗方案,为患者争取最佳预后。
此次手术的圆满成功,再次有力地彰显了我院在心血管介入技术领域雄厚的实力。展望未来,我院将继续秉持深耕细作的精神,专注于疑难心血管疾病的诊疗工作,全力以赴地为患者提供更加优质、贴心、全面的服务,竭诚守护每一位患者的“心”健康,为广大群众铸就坚实的健康屏障。
心血管内科简介
心血管内科科是上饶市中心医院的临床重点科室,团队由南昌大学第二附属医院专家带领20余名医护人员组成,人员结构合理,现有专科医师10名,主任医师2名,副主任医师1名,主治医生5名,住院医师2名;其中硕士研究生导师1名,博士1名,硕士研究生4名。全面平移南昌大学第二附属医院心内科技术,门诊开设普通门诊、专家门诊、高血压病门诊及房颤门诊,长期有国内著名专家教授及南昌大学第二附属医院知名专家教授定期或不定期坐诊。病区设置床位52张,医疗设备齐全,拥有先进的D S A导管室、血管内超声仪、主动脉反搏泵、多导电生理仪、射频消融仪、中央监护系统、心电一张网,动态心电图、动态血压等。主要诊疗疾病有心绞痛、急性心肌梗死、高血压病、心力衰竭、心律失常、心肌炎、心肌病、先天性心脏病及心脏瓣膜病等。
心血管专家团队介绍
姜醒华
上饶市中心医院 心血管内科执行主任
南昌大学第二附属医院
心血管内科教研室副主任 心内科冠心病病区副主任
主任医师 教授 硕士研究生导师
中国冠状动脉慢性闭塞病变介入治疗俱乐部(CTOCC)会员,全国心血管疾病介入诊疗技术培训项目培训基地(冠脉介入)导师,中国医师协会重症医学医师分会心脏重症专家委员会委员,中国医师协会心脏重症专家委员会第一、二届江西省心脏重症专家委员会副主任委员,江西省研究型医院学会胸痛中心副主任委员,江西省医学会介入心血管病分会第一届委员会副主任委员,“十年百项”冠心病血脂干预技术推广项目授课专家,江西省心电协会理事,主要从事心血管病临床与基础研究工作,完成介入治疗手术10000余例,开展冠脉钙化病变旋磨术、CRT-D植入术、血管内超声(IVUS)和光学相干断层扫描(OCT)及冠状动脉血流储备分数测定术(FFR)评价冠脉临界病变,心血管疾病干细胞治疗及复杂冠脉介入治疗等新技术。
擅长:冠心病介入治疗、心脏重症治疗。
黄佳兵
上饶市中心医院 心血管介入科执行主任
南昌大学第二附属医院
心血管介入科主任医师 医学博士
毕业于中南大学,获医学博士学位,主持国家自然科学基金一项,发表SCI论文数篇
擅长:各类心血管疾病整治,尤其擅长结构性心脏病,冠状动脉粥样硬化性心脏病、肺动脉高压,高血压的介入治疗
席会凯
主任医师 副教授
从事临床心血管内科医疗工作56年
原南昌铁路局内科学科带头人
参与制定国家标准“急性一甲胺中毒的诊断和治疗”
擅长:先天性心脏病、风湿性心脏病、高血压、心力衰竭、心律失常、心肌病、冠心病等疾病的诊治。
阮凤华
心血管内科主任
副主任医师,从事临床心血管内科医疗工作近30年。
上海中山医院学习及在上海瑞金医院心内科进修。
第八届江西省医学会内科学分会委员;
江西省生理科学会第十一届理事会理事;
江西省研家型医院学会心血管病学分会第一届委员会委员;
上饶市医学会心血管内科专业分会第三届委员会委员;
上饶市医学会高血压专业分会第一届委员会常务委员。
擅长:高血压、心力衰竭、心律失常、心肌病、冠心病及心肌梗死等疾病的诊治。